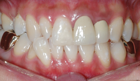
35세 남성 전문가미백
40대 남성 치아미백
자가미백 트레이
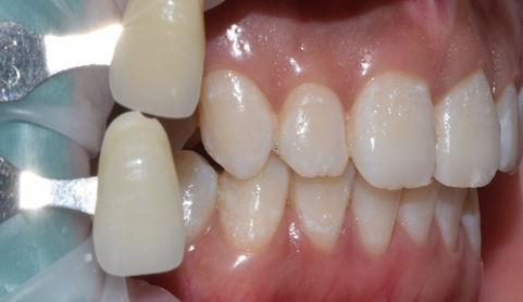
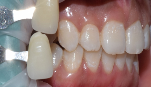
30대 여성 미백진행
25세 직장여성 미백
진료시간COUNSELLING HOURS
예약문의RESERVATION
당신의 치아가 미백이 되는 가장 빠른 방법!
첫 인상을 결정짓는 가장 중요한 미소!
라이프치과는 선/후천적인 영향으로 누렇게 변색된 치아의 표면을
본연의 치아 색상으로 회복시키거나 더 밝게 만들어 드립니다.
지금! 당당하게 웃어보세요.

Chairside whitening system 전문가미백 노하우!
치아의 색깔 때문에 콤플렉스를 가진 분이나,
치아미백 시술과정
치아가 획기적으로 미백이 될 수 있는 가장 빠른 방법을 찾는다면...
TRINITY WHITE! 겔은 식약청에서 공식 허가받은 전문의약품으로 치아 손상을 걱정할 필요가 없습니다.
01 미백 전 치아색상을 자연광에서 측정하고, 치료 후 예상될 수 있는 한계를 설명합니다.
02 광선이 치아에 도포된 미백 젤을 활성화해서 변색 된 치아색소를 분해시킵니다.
03 환자마다 차이가 있지만 평균 7shade 밝아지는 드라마틱한 효과가 있습니다.