우리동네 좋은치과 전문의치과보건복지부인증 전문의치과 서울라이프치과철저한 멸균소독
ORTHODONTICS PROGRAM
구강외과전문의, 통합치의학전문의
온라인상담 궁금한 치과치료 온라인으로 상담/예약하세요.
  • 제목
  • 게시물이 없습니다.


온라인 상담/예약
온라인예약 원하는 날짜/시간에 진료예약하는 시스템
  • 진료시간

    진료시간COUNSELLING HOURS

    평일 : AM 09:30 ~ PM 18:30
    화/목요일(야간진료) : AM 09:30 ~ PM 20:30
    - 점심시간 : PM 12:30 ~ PM 14:00
    토요일 : AM 09:30 ~ PM 14:00
    일요일, 공휴일 휴진입니다
  • 온라인 상담/예약문의

    예약문의RESERVATION

    02-2604-2875 궁금한 치과치료 고민하지 말고 물어보세요!
    친절하게 상담해 드립니다.
온라인 상담/예약하기
치과위치 치과 오시는길을 자세히 안내해 드립니다.
서울 강서구 화곡동 1159-1 우장산아이파크 이편한세상 상가2층
5호선 우장산역 2번 출구 앞.
닫기
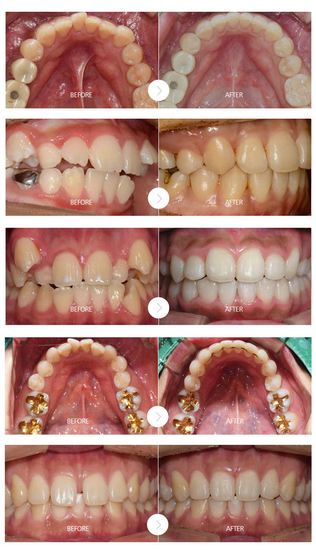
서울라이프치과 치아교정 서울라이프치과 서울라이프치과 교정장치 재수술 임플란트 장치별 교정종류 서울라이프치과 온라인상담 치아교정 전후사진
네비게이션 & UV 임플란트
DIO navi 3D 치아교정
우리동네 평생 치과 주치의
100% 멸균/소독 시스템
네비게이션&UV 임플란트
3D 디지털 치아교정
우리동네 평생 치과 주치의 라이프치과
100% 멸균/소독 시스템