진료시간COUNSELLING HOURS
예약문의RESERVATION



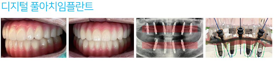
말 그대로 잇몸에 치아가 하나도 남아있지 않거나,
하나, 또는 두개 정도의 치아가 남아있는 경우에 해당하며
이를 위해 전체적으로 임플란트를 심어주는 시술입니다.
다양한 케이스별
임플란트 치료 사례
임플란트는 자연 치아의 기능을 대신 해주는 인공 치아로, 한번 심은 임플란트가
오랫동안 치아의 기능을 제대로 하기 위해서는
단순히 심어주는 것이 아닌
순서에 따라 체계적인 과정
으로 치료가 이루어져야 합니다